Una prótesis ocular logra devolver la vista a personas con ceguera irreversible

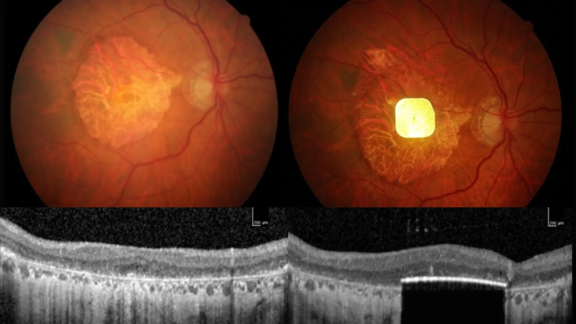
Los pacientes sufrían ceguera a consecuencia de una atrofia geográfica, la última etapa de una forma de degeneración macular asociada a la edad....
Redirecting to full article...