Un chip implantado en el ojo permite que 27 personas ciegas vuelvan a leer

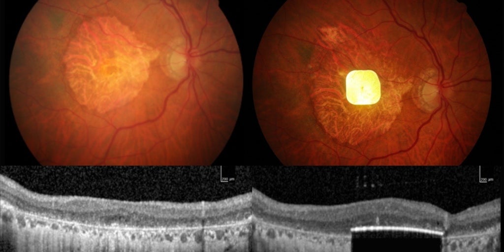
El dispositivo intraocular se probó en personas con degeneración macular asociada a la edad, combinado con gafas de realidad aumentada...
Redirecting to full article...
El dispositivo intraocular se probó en personas con degeneración macular asociada a la edad, combinado con gafas de realidad aumentada...
Redirecting to full article...