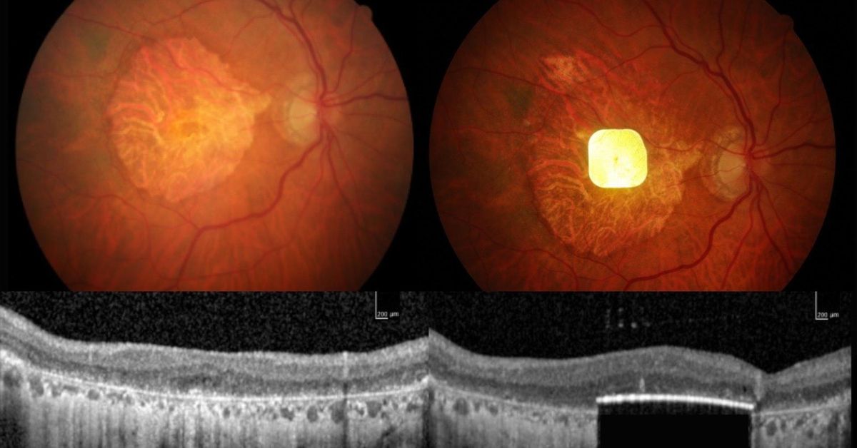
Una prótesis ocular permite leer a personas con ceguera irreversible

Un equipo internacional de científicos levaba dos décadas trabajando en el desarrollo de este dispositivo para paliar los efectos de la degeneración macular asociada a la edad (DMAE) — Una inyección en el ojo para frenar la pérdida de visión relacionada con la edad...
Redirecting to full article...