Científicos de Barcelona desarrollan una técnica para crear materiales vivos inteligentes y programables con células

Científicos de Barcelona desarrollan una técnica para crear materiales vivos inteligentes y programables con células

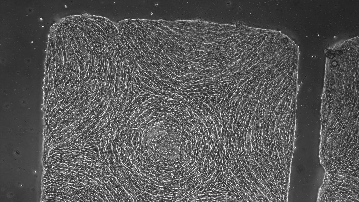
La técnica, publicada en la revista Science, demuestra por primera vez que es posible guiar las fuerzas y forma final de un tejido vivo controlando la orientación de sus células...

Redirecting to full article...