Primeros humanos en nacer con células madre en la médula espinal
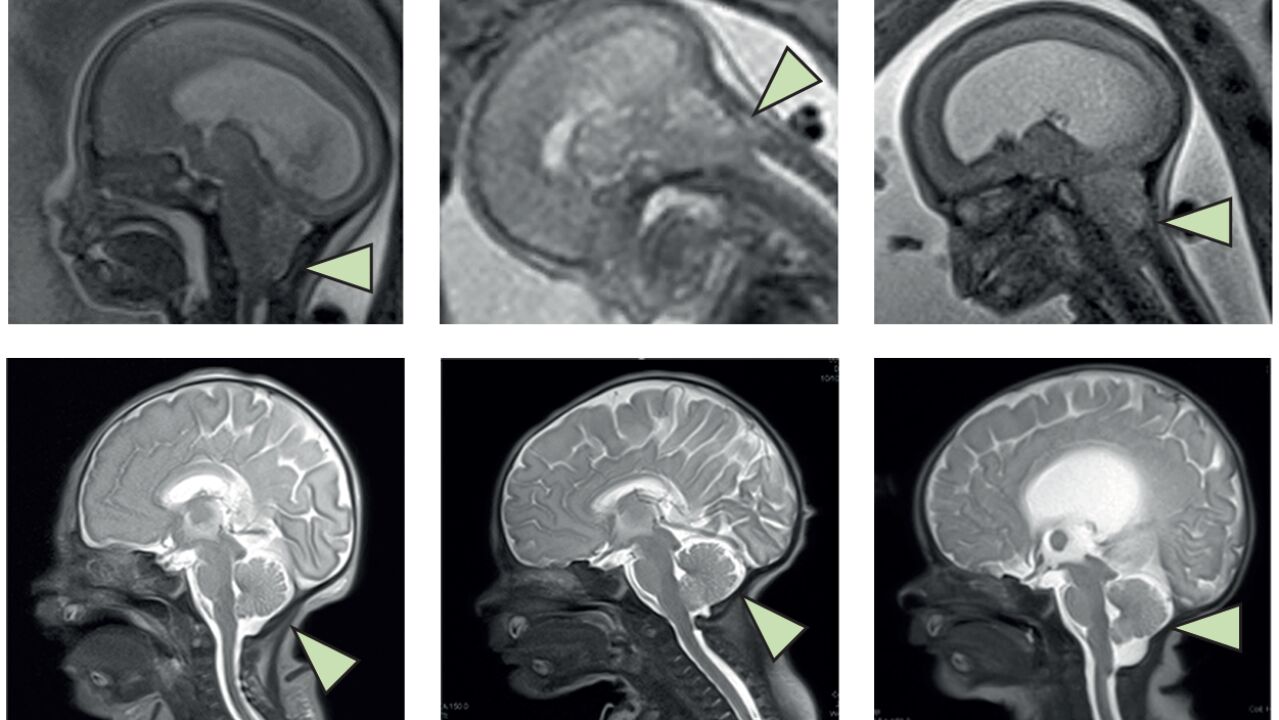
Un estudio publicado en The Lancet confirma en humanos la seguridad de las células madre para tratar la espina bífida...
Redirecting to full article...
Un estudio publicado en The Lancet confirma en humanos la seguridad de las células madre para tratar la espina bífida...
Redirecting to full article...