Llega a España una nueva terapia CAR-T para los dos linfomas no-Hodgkin más frecuentes

Llega a España una nueva terapia CAR-T para los dos linfomas no-Hodgkin más frecuentes

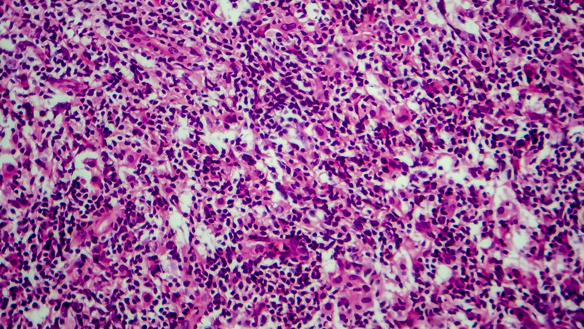
A partir del 1 de abril estará disponible la terapia liso-cel para adultos, un tratamiento que ha demostrado una remisión completa del 75% y del 95% en el caso del linfoma difuso de células B grandes y en el linfoma folicular, respectivamente...

Redirecting to full article...