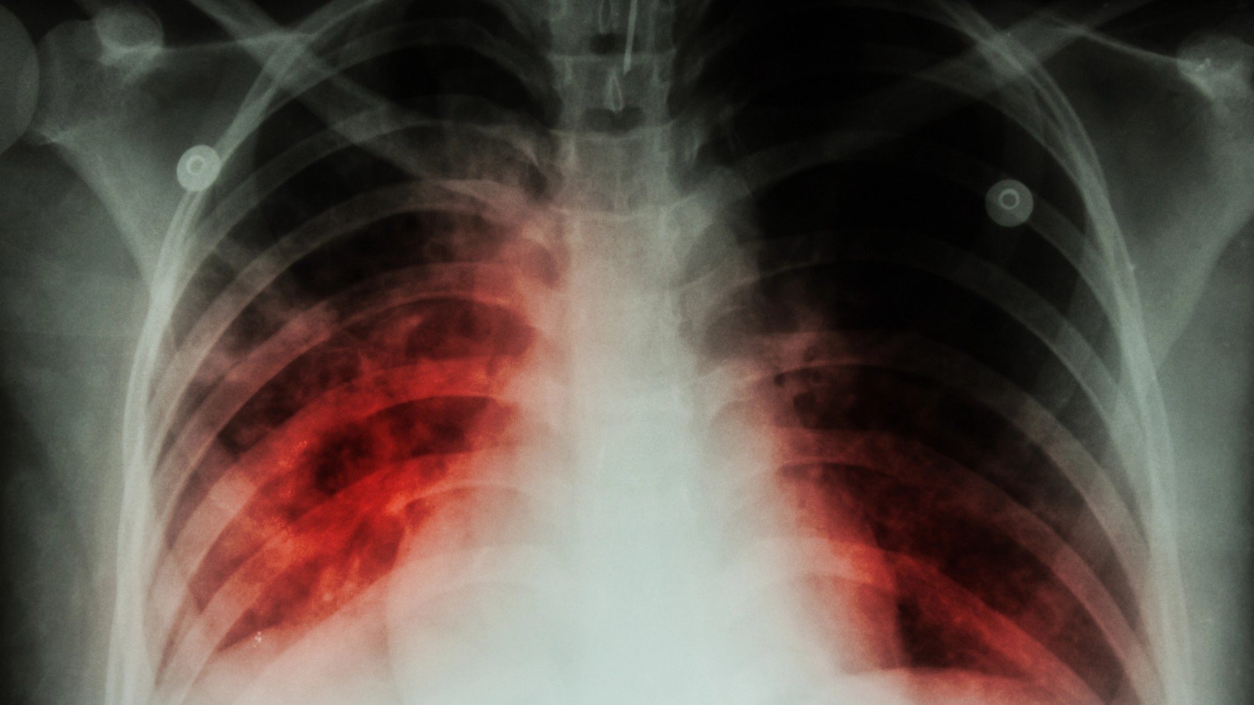
El Dr. Arnaiz: «La nueva estrategia contra la tuberculosis resistente es más corta y totalmente oral»

Francisco Arnaiz ha presentado evidencias prometedoras sobre el uso de nuevos antibióticos frente a infecciones graves por bacterias multirresistentes...
Redirecting to full article...