دراسة صادمة.. القلق والدوار يرتبطان بأورام الدماغ!

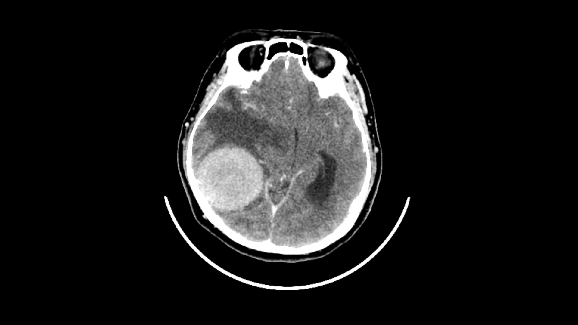
توصلت دراسة حديثة إلى وجود علاقة بين القلق والدوخة من جهة، والأورام الدماغية الحميدة من جهة أخرى....
Redirecting to full article...
توصلت دراسة حديثة إلى وجود علاقة بين القلق والدوخة من جهة، والأورام الدماغية الحميدة من جهة أخرى....
Redirecting to full article...