العلماء يحددون آلية تربط "كوفيد-19" بسرطان الرئة
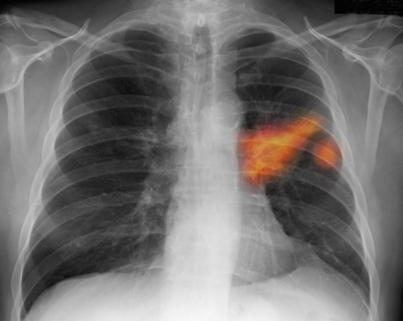
كشفت دراسة دولية أن فيروس كورونا قد يترك آثارا صحية طويلة المدى تتجاوز المرحلة الحادة من المرض....
Redirecting to full article...
كشفت دراسة دولية أن فيروس كورونا قد يترك آثارا صحية طويلة المدى تتجاوز المرحلة الحادة من المرض....
Redirecting to full article...